Full Arch Chile es el área especializada en recuperación completa de boca de los doctores Max Lizana y Tomás Cruzat — referentes en cirugía guiada de arco completo en Chile, con más de 500 casos resueltos. Si otros te rechazaron, esto es lo que necesitas ver.
La realidad que nadie nombra
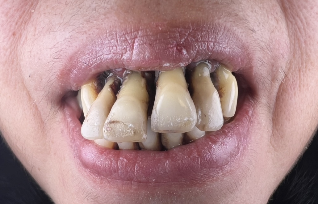
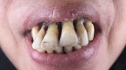
La prótesis removible no es una solución. Es un parche que se acepta porque nadie te dijo que había algo mejor. Hasta hoy.
Entendemos tu situación
La mayoría de los pacientes que llegan a Full Arch Chile ya intentaron en otro lugar. Fueron rechazados, les dieron un presupuesto inalcanzable, o simplemente nadie supo qué hacer con su caso. Eso tiene un nombre: caso complejo. Y eso es exactamente en lo que nos especializamos.
Consultarle a un especialistaTe dijeron que tu caso era "muy complicado" o que no tenías suficiente hueso. En Full Arch Chile evaluamos exactamente esos casos con el Método Digital Boca Completa.
Muchas clínicas sobrecotizan los casos de arco completo. Nuestro modelo digital reduce costos operativos y la eficiencia del flujo digital permite una estructura de costos más ajustada. Pero la diferencia principal está en los materiales y la tecnología — y eso tiene un precio.
Una prótesis removible no es una solución definitiva. Los implantes de arco completo son fijos, no se sacan, y en muchos casos los tienes en menos de 48 horas.
Los implantes fallidos tienen solución. El Dr. Tomás Cruzat es especialista en cirugía de rescate y casos de alta complejidad — exactamente el tipo de caso que resolvemos.
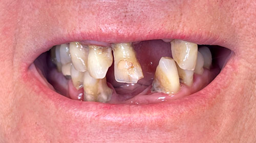
Quimioterapias, medicamentos, enfermedades sistémicas. La pérdida dental no fue tu culpa — y la solución no debería ser un parche. El Dr. Cruzat trabaja con casos de alta complejidad exactamente como el tuyo. Recuperar tu sonrisa también es parte de sanar.
Cómo funciona
5 pasos que transforman cualquier caso — sin importar su complejidad — en una sonrisa completa y funcional.
Escaneo facial e intraoral 3D con el Shining ELITE. Sin radiografías por cuenta tuya. Creamos tu gemelo digital antes de tocarte.
Gratis · Sin compromisoFusionamos escaneo facial, intraoral y dinámico para crear tu modelo virtual completo. Ves tu sonrisa final antes de la cirugía.
Único en ChileEl Dr. Cruzat diseña la posición, ángulo y profundidad de cada implante en software 3D. Se fabrica la guía quirúrgica personalizada.
Cero improvisaciónEl día de la cirugía todo ya está planificado al milímetro. Menos tiempo en pabellón, menos molestias, más precisión.
Mínimamente invasivaEn la mayoría de los casos, colocamos tus dientes provisorios fijos — no removibles — dentro de las primeras 48 horas. El Dr. Lizana completa tu rehabilitación digital.
Fijos · No se sacanEscaneo facial · Intraoral 3D · Dinámica mandibular · Plan virtual
Paciente Virtual 4D
Somos los únicos en Chile que creamos tu paciente virtual completo antes de realizar cualquier procedimiento. Combinamos escaneo facial 3D, escaneo intraoral y dinámica mandibular real — sin sorpresas, sin improvisación.
Una vez que tu implante está integrado al hueso, necesitamos registrar su posición exacta para fabricar la corona o prótesis definitiva con precisión submilimétrica. En lugar de una transferencia física — incómoda y menos exacta — usamos T-Markers: pequeños marcadores que posicionamos sobre el implante y escaneamos con un iPhone o iPad mediante fotogrametría 3D. El resultado entra directo al software y la pieza definitiva se fabrica con exactitud total.
Por qué cuesta lo que cuesta
Somos el centro con más experiencia y tecnología en implantología de arco completo en Chile. Y eso tiene un precio — uno que se justifica con resultados.
No somos la opción más barata — ni queremos serlo. Trabajamos con los conocimientos, materiales y la tecnología que usaría cualquier centro de excelencia en Europa o Estados Unidos. La diferencia de precio existe porque la diferencia en el resultado existe.
| Clínicas convencionales | Full Arch Chile | |
|---|---|---|
| Material de la prótesis | ✗ Acrílico o metal/porcelana Implantología del pasado |
✓ Zirconio con barra de titanio CAD/CAM |
| Planificación | ✗ Análoga o estimada | ✓ Digital 3D · Paciente Virtual 4D |
| Escáner intraoral | ~ Impresión física o escáner básico | ✓ Shining ELITE — clase mundial |
| Registro del implante | ✗ Transferencia física | ✓ T-Markers fotogrametría (iPhone/iPad) |
| N° de implantes por arco | ✗ Generalmente 4 (mínimo protocolar) | ✓ Maximizamos según biomecánica y anatomía |
| Experiencia en arco completo | ~ Práctica general | ✓ +500 casos · equipo especializado |
| Respaldo institucional | ~ Variable | ✓ +15.000 implantes en Red Implantología |
Hoy hay muchas clínicas que ofrecen arco completo con 4 implantes arriba y 4 abajo —
siempre, para todos los casos — porque es la opción que reduce costos. Lo que no te dicen es que ese número
no es el estándar ideal: los expertos recomiendan 5 a 6 implantes en el maxilar
inferior y 6 en el superior, donde la fuerza de masticación es mayor y el hueso
necesita más puntos de apoyo para que el resultado dure en el tiempo.
En casos con pérdida ósea importante en el maxilar inferior, 4 implantes puede ser la
opción correcta — y nosotros también la hacemos cuando el caso lo indica. La diferencia es que esa decisión
la tomamos después de estudiar tu anatomía, no antes de conocer tu boca.
Precios claros
El número de implantes lo determinan los doctores según tu anatomía ósea y estudio digital — siempre intentamos fijar la mayor cantidad posible. Aquí los rangos de referencia por arco.
⚠️ No incluye carga inmediata — se cotiza por separado según indicación clínicaCaso clínico A
Sólo en casos inferiores
antes $4.890.000
$3.890.000
ahorras $1.000.000Caso clínico B
Mayor estabilidad y soporte óseo
antes $5.090.000
$4.090.000
ahorras $1.000.000Caso clínico C
Máxima distribución de carga ósea
antes $5.280.000
$4.280.000
ahorras $1.000.000Quiénes lo hacen
Más de 20 años de experiencia en implantología de alta complejidad. Capacitados en protocolos de nivel internacional, aplicados a la realidad chilena.
Rehabilitación Digital · Área Full Arch
Especialista en implantología oral y rehabilitación digital de arcadas completas. Pionero en la aplicación del flujo 100% digital para tratamientos Full Arch en Chile. Creador del Método Digital Boca Completa® y director de Red Implantología Viña.
Cirugía de Alta Complejidad · Injertos
Especialista en cirugía de implantes de alta complejidad, injertos óseos y cirugía guiada. Miembro de la Sociedad de Implantología Oral de Chile y de la Academia de Oseointegración de Estados Unidos. Dedicación clínica exclusiva a la implantología.
Casos reales
Pacientes reales, casos complejos, resultados verificables. Muchos de ellos llegaron después de haber sido rechazados en otros lugares.
"Llegué con todos los dientes móviles que había que extraer. Me dijeron que no tenía solución en otro lado. En menos de 48 horas salí sonriendo. El cambio es impactante."
"Tenía prótesis superior en muy mal estado. En menos de 48 horas tuve lo que otros no pudieron ofrecerme. Ojalá hubiera conocido esto antes."
"Me dijeron que no tenía solución. Recuperé las ganas de vivir. Ahora como de todo y salgo a la calle sin taparme la boca. Gracias a los doctores Cruzat y Lizana."
"Trabajé con público toda mi vida y me tapaba la boca con la mano. El método digital me dio confianza desde el primer día. En 2 días salí con dientes nuevos arriba y abajo."
"Mi esposa me convenció de venir. Pensé que iba a ser igual que en otros lugares. Me equivoqué completamente. Los doctores son otra categoría. Ahora puedo hablar y comer tranquilo."
"No podía comer bien ni hablar sin incomodidad. El Dr. Lizana me explicó todo con el paciente virtual antes de la cirugía. Ahora como de todo y sonrío sin pena."
Johana
48 años · Santiago
Johana
Su nueva sonrisa · 48 hrs
Ve su cara en 3D por primera vez.
Aprueba su sonrisa antes de entrar a pabellón.
"La diferencia en el resultado existe — porque la diferencia en el proceso existe."
Quiero ser el próximo casoPacientes de todo Chile y el mundo
Cuando el resultado importa, la distancia no es un obstáculo. Coordinamos tu agenda para que viajes la menor cantidad de veces posible.
¿Eres de otra ciudad? Escríbenos y te explicamos cómo coordinar tu tratamiento con la menor cantidad de viajes posible.
Soy de otra ciudad — consultarRegalo oficial · Solo para pacientes Full Arch Chile

Cada persona que completa su tratamiento Full Arch recibe al Dr. Titán.
¿Quieres ser parte del muro?
Primer paso
No te pedimos que decidas nada hoy. Solo que vengas a ver tu caso con tecnología real. La evaluación es gratuita, sin compromiso y te entrega un diagnóstico concreto de tu situación.
Evaluación Digital Completa
* No incluye radiografías. Disponible en Viña del Mar. Cupos limitados.
Reservar mi evaluación ahora — WhatsApp📍 Avda. Libertad 269 of. 304, Viña del Mar (edificio frente al Palacio Carrasco)
Preguntas frecuentes
Especialmente de pacientes que ya tuvieron malas experiencias antes.
En la mayoría de los casos, sí. El Dr. Tomás Cruzat es especialista en injertos óseos y regeneración guiada — exactamente para situaciones donde hay déficit óseo. Con el Método Digital evaluamos tu caso con precisión antes de darte una respuesta. No asumimos, medimos.
Los que se colocan en 48 horas son provisorios fijos atornillados — es decir, no se sacan, son cómodos y funcionales. Los dientes definitivos (en zirconio u otros materiales CAD/CAM) se instalan una vez completada la oseointegración, típicamente entre 3 a 6 meses después. Todo esto se planifica y se te explica antes de comenzar.
Porque creemos que nadie debería decidir un tratamiento de esta magnitud sin haber visto su caso en detalle. La evaluación incluye escaneo 3D, creación del Paciente Virtual y plan de tratamiento. Sin esa información, cualquier presupuesto que te den es solo una estimación. Nosotros te damos certeza.
Es uno de los casos que más vemos. El Dr. Cruzat tiene experiencia en cirugía de rescate y retiro de implantes fallidos. El siguiente paso es una evaluación para entender la causa del fallo y diseñar el plan correcto desde la raíz.
Generalmente porque usan prótesis en acrílico en lugar de zirconio con barra de titanio CAD/CAM, planificación análoga en lugar de digital, y menor cantidad de implantes. Son opciones válidas para ciertos casos — pero no son lo mismo. En la evaluación te mostramos la diferencia concretamente.
Sí. Ofrecemos financiamiento en cuotas. También trabajamos con seguros dentales privados. En la evaluación te explicamos todas las alternativas disponibles según tu caso y presupuesto.
Sí. Atendemos pacientes de todo Chile — Iquique, Calama, Copiapó, Santiago, Rancagua, Chillán, Temuco, Puerto Montt, Punta Arenas y muchas otras ciudades. También tenemos pacientes internacionales de Estados Unidos. La clínica está en Viña del Mar, frente al Palacio Carrasco. Coordinamos tu agenda para que hagas el mínimo de viajes posible.
El verdadero poder de la sonrisa